每次照鏡子或拍照時是不是總發現下巴突出像戽斗(厚道)?真的不可以忽視自己厚道問題,戽斗不只會造成外觀的不協調感,也會導致咬合問題,長期下來會影響到牙齒造成損壞!這次文章會帶大家了解造成戽斗的原因、種類以及如何矯正戽斗。
文章目錄
Toggle戽斗是什麼?造成戽斗的原因介紹
戽斗就是大家常聽的台語「厚道」,如果一個人下巴比較長、下巴突出(前凸)都會稱為戽斗,也稱為「地包天」、「倒咬齒」,戽斗起因有分為先天及後天兩種因素:
1. 先天性遺傳:骨性戽斗(真戽斗)
當先天性骨頭基因遺傳上下顎發育異常,在出生後可以很明顯看出下排牙齒位置比較外凸,比上排牙齒還要前面,不管多用力也無法咬合在正確位置上,這種情形也稱為「骨性戽斗」、「真戽斗」。
- 真戽斗判斷方法
- 無論怎麼用力把下巴後縮也無法改變。
- 從側面看有非常明顯的下巴前凸。
- 下巴比例比較長、比較凸出。
2. 後天習慣造成:齒性戽斗(假性戽斗)
如果在兒童時期或是換牙期間牙齒就不整齊,在當時沒有及時矯正,牙齒一直不在對的咬合點,容易造成下排牙齒長期往前咬合,時間一久這樣的習慣就會導致齒顎骨骼變形,戽斗的狀況會越來越嚴重,這種後天所導致的戽斗也稱為「齒性戽斗」、「假戽斗」。
- 假性戽斗判斷方法
- 正面看起來有輕微戽斗(小戽斗)。
- 下排牙齒咬在上排牙齒外面,可以用力內縮下巴。
戽斗矯正黃金期
8~12歲為矯正黃金期,在這段期間如果有戽斗徵兆,建議提早進行第一階段矯正治療,因為上顎骨生長期在8~12歲左右,下顎骨則在13~18歲左右生長。只要在顎骨生長期發現有戽斗的跡象,醫師可以誘導顎骨生長,調整上下顎骨到理想的咬合位置。
在完成矯正後會需要長期追蹤後續顎骨生長發育狀況,觀察有沒有骨性戽斗的徵兆。一般在乳牙全部換完約12歲以後,若還有新萌發出的牙齒,有排列不整的狀況,會需要進入第二階段的全口矯正治療。
戽斗矯正正顎手術與不手術的差異
真戽斗(骨性厚道、下巴過長)只做牙齒矯正是沒有辦法改善戽斗與牙齒咬合問題,必須搭配正顎手術進行矯正,正顎手術屬於較精細且複雜的臉部骨骼手術,通常與整形外科或口腔顎面外科搭配進行,藉由手術調整下顎骨位置,恢復下巴外觀與牙齒咬合,不只需要豐富的臨床經驗評估與設計手術進行方式,也要對美觀有足夠的靈敏度,讓患者在完成正顎手術後改善戽斗問題與臉型比例,通常只有真戽斗(骨性戽斗)才會需要搭配正顎手術,建議諮詢矯正專科醫師診斷與評估自己需要如何進行矯正。
戽斗不開刀可以矯正嗎?
如果是因為牙齒咬合問題導致下巴厚道是有機會不開刀矯正的,只要重新調整牙齒咬合就可以改善這種齒性戽斗,但是每個人的牙齒構造狀況不同,建議由醫師拍攝X光評估矯正牙齒前是否需要進行正顎手術。
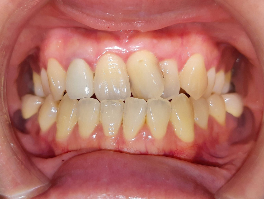
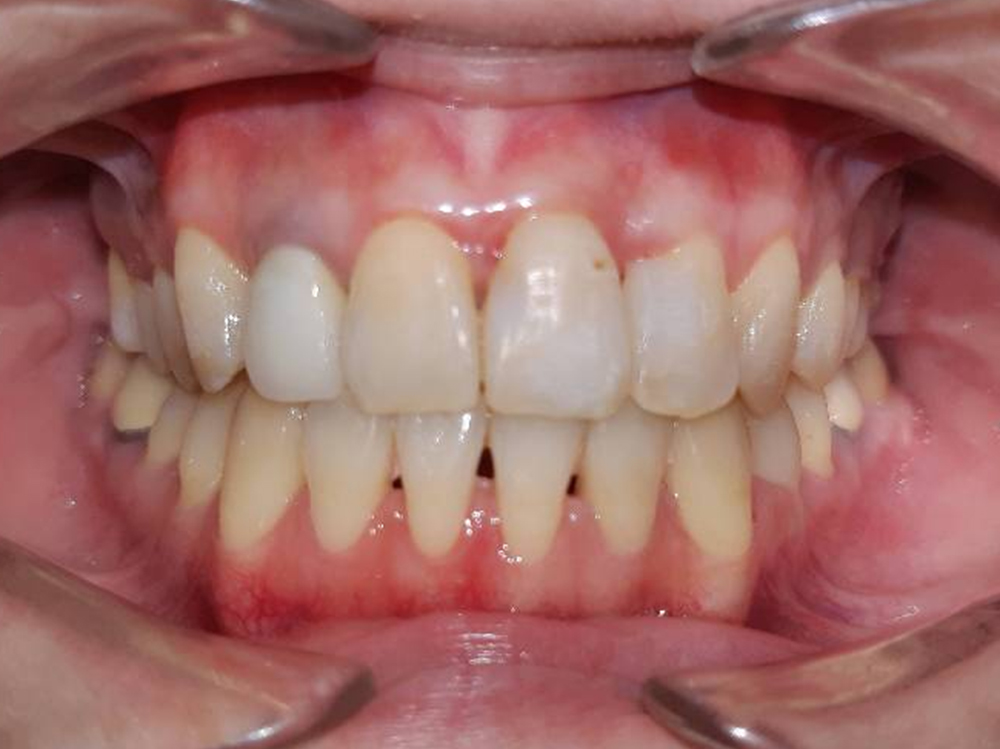
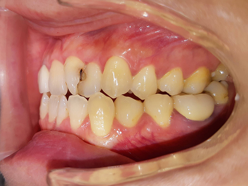
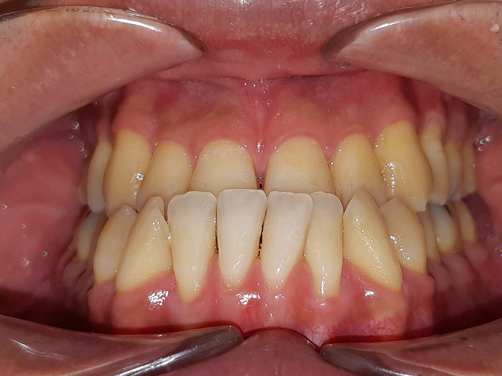
案例:不開刀齒性戽斗前後比較


戽斗不矯正會有什麼影響?
1. 影響外觀
戽斗會直接影響外表,臉型和一般人有差異,長期下來容易影響自信,甚至可能導致社交障礙。
2. 咬合功能
下巴厚道就是下排牙齒會咬在上排牙齒的前面,飲食時會因為咬合不正導致吃東西有障礙,食物無法被完好的嚼碎,進而容易導致消化問題。
3. 顳顎關節負擔
不正確的咬合,連帶會影響到顳顎關節造成負擔,長久下來甚至會開始有疼痛感,有患者嚴重到張不開嘴巴。
4. 牙齒過度磨耗
長期咬合不正是牙齒磨耗的主因,牙齒會從牙齒邊緣或切端開始有缺角,牙齒的琺瑯質會變薄或透明,當牙齒磨耗過度造成牙冠損壞,患者有時就會感到牙齒敏感或痠痛,此時就會需要修復損壞的牙齒,通常以補牙或是假牙的方式保護,若能及早進行矯正治療,改善咬合問題,便能避免牙齒長期過度磨耗。
5. 說話發音障礙
下巴厚道會最直接影響舌頭運作干擾發音,加上戽斗會有門牙反咬的狀況,患者即便牙齒咬緊時,上下門牙仍會有縫隙,會讓發音有漏風感,造成說話時有發音障礙。
戽斗會越來越嚴重嗎?
兒童或青少年因為下巴仍在生長發育,戽斗確實會有變嚴重的可能。在發育期醫師會透過誘導下顎生長的方式,讓下顎到達較理想的咬合位置,可以有效避免未來戽斗問題變嚴重。
成人因生長發育已完成,戽斗不會日漸嚴重,會越來越嚴重的是戽斗造成的影響,不但會咬合不正、牙齒磨損、造成飲食問題,甚至造成顳顎關節負擔,因此建議早發現早矯正。
什麼時候會需要找醫師評估?
如果發現有上述五種情況,建議可前往牙科診所諮詢,醫師會評估是否影響到口腔正常功能,並建議適合的矯正方式。
戽斗矯正方法介紹
不管是傳統金屬矯正、透明矯正、陶瓷矯正、自鎖式矯正或是隱形矯正(隱適美)都可以進行戽斗矯正,每個人牙齒戽斗的複雜程度還是會影響到矯正方式的選擇,醫師會根據戽斗程度、牙齒排列狀況等因素評估最適合的矯正方式。
戽斗矯正費用怎麼算?
戽斗矯正費用會因為不同的矯正方式而有價格上的差異,大家要知道,如果有額外進行其他療程,費用並通常不會包含在內,台中戽斗矯正價格:
- 傳統矯正器價格:大約10萬~15萬左右。
- 自鎖式矯正器:大約15萬~20萬左右。
- 隱形矯正器(隱適美):大約20萬~30萬左右。
- 純牙齒矯正(輕微戽斗)矯正費用:約20萬以內,視選擇的矯正方式而定。
- 正顎手術+牙齒矯正:約30~45萬
※以上價格僅供參考,不包含其他療程,例如:骨釘療程、自費拔牙、正顎手術等。
總結
從這次的文章中相信大家更了解「戽斗」,不只分為齒性、骨性,也有不同療程方式。戽斗不只是美觀問題,也會直接影響牙齒及生活問題,牙齒與生活有很緊密的關聯,要重視,長期忽視只會造成更嚴重的問題,建議大家無論有戽斗或牙齒相關咬合問題一定要尋求專業診所評估與進行療程,早發現早矯正!
厚道問題?
戽斗問題?
不知道怎麼矯正矯正戽斗?
河馬牙醫位於台中西屯區,我們秉持用心、細心、耐心來照顧每一位患者,矯正專科醫師以豐富的矯正臨床經驗協助不同牙況的患者改善牙齒排列及咬合問題,醫師會根據患者問題提供多種矯正選擇,包含傳統金屬/透明矯正、自鎖式矯正、隱形矯正(隱適美、SPARK精耀… )等,客製最適合的療程計畫,讓患者安心地完成牙齒矯正,提升生活品質,歡迎線上預約諮詢!
李盈欣 醫師
齒顎矯正專科
專長
兒童齒列生長檢查及發育評估、成人矯正、植牙重建、隱形牙套治療、兒童口腔蛀牙檢查
學經歷
- 長庚醫學大學顱顏口腔研究所碩士
- 衛生福利部部定齒顎矯正專科醫師
- 中華民國兒童牙科醫學會專科會員
- 現任台中榮總齒顎矯正兼任主治醫師
- 隱適美認證醫師
河馬牙醫診所 Dent.Hippo
- 台中市西屯區重慶路270號
- 04-23169788
-
營業時間:
早上 9:00~12:00
下午13:30~16:30
晚上19:00~21:00
週一到週六,每周日固定休診











































