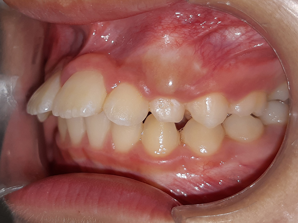
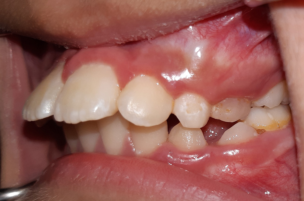
兒童MRC暴牙矯正案例 河馬牙醫診所 Dent.Hippo 台中市西屯區重慶路270號 04-23169788 營業時間:早上 9:00~12:00下午13:30~16:30晚上19:00~21:00週一到週六,每周日固定休診 線上預約 河馬牙醫患者好評